PDGFR alpha Recombinant Rabbit Monoclonal Antibody [JF104-6]
货号:ET1702-49
一键复制产品信息
价格:
1500.00
规格:
50ul
100ul
货期:
1-3天
请注意: All products are "FOR RESEARCH USE ONLY AND ARE NOT INTENDED FOR DIAGNOSTIC OR THERAPEUTIC USE"
Details
产品详情
  • ET1702-49

    概述

    产品名称

    PDGFR alpha Recombinant Rabbit Monoclonal Antibody [JF104-6]

    抗体类型

    Recombinant Rabbit monoclonal Antibody

    免疫原

    Synthetic peptide within C-terminal human PDGFR alpha.

    种属反应性

    Human, Mouse, Rat (Predicted: Cynomolgus monkey, Pig)

     

    验证应用

    WB, IHC-P, IHC-Fr

    分子量

    Predicted band size: 123 kDa

    阳性对照

    Mouse embryonic femur tissue, mouse embryonic intervertebral disc tissue, mouse embryonic lung tissue, rat embryonic femur tissue, rat embryonic intervertebral disc tissue, rat embryonic lung tissue, rat endometrium tissue, human colon tissue, human colon cancer tissue, human glioblastoma tissue, NIH/3T3 cell lysates, SHG-44 cell lysates, A549, NIH/3T3.

    偶联

    unconjugated

    克隆号

    JF104-6

    产品特性

    形态

    Liquid

    浓度

    1ug/ul

    存放说明

    Store at +4℃ after thawing. Aliquot store at -20℃ or -80℃. Avoid repeated freeze / thaw cycles.

    存储缓冲液

    1*TBS (pH7.4), 0.05% BSA, 40% Glycerol. Preservative: 0.05% Sodium Azide.

    亚型

    IgG

    纯化方式

    Protein A affinity purified.

    应用稀释度


    • WB

    • 1:5,000-1:10,000


    • IHC-P

    • 1:500-1:2,000


    • IHC-Fr

    • 1:500

    靶点

    功能

    Platelet-derived growth factor (PDGF) is a mitogen for mesenchyme- and glia-derived cells. PDGF consists of two chains, A and B, which dimerize to form functionally distinct isoforms, PGDF-AA, PDGF-AB and PDGF-BB. These three isoforms bind with different affinities to two receptor types, PDGFR-α and -β, which are endowed with protein tyrosine kinase domains. PDGFR-α can bind to both A and B subunits of PDGF, while PDGFR-β can only bind the B subunit. Ligand binding promotes either homo- or heterodimerization of the PDGF receptors in a specific manner. PDGF-AA induces the dimerization of two α receptors, PDGF-AB induces dimerization of αα and αβ and PDGF-BB induces the formation of three types of dimers, αα, αβ and ββ. Translocation of the PDGFR-β gene with the Tel gene is linked to chronic myelomonocytic leukemia (CMML), a myelodysplastic syndrome, and demonstrates the oncogenic potential of the PDGF receptors.

    背景文献

    1. Benedykcinska A et al. Generation of brain tumours in mice by Cre-mediated recombination of neural progenitors in situ with the tamoxifen metabolite endoxifen. Dis Model Mech 9:211-20 (2016).

    2. Rondahl V et al. Lrig2-deficient mice are protected against PDGFB-induced glioma. PLoS One 8:e73635 (2013).

    序列相似性

    Belongs to the protein kinase superfamily. Tyr protein kinase family. CSF-1/PDGF receptor subfamily.

    组织特异性

    Detected in platelets (at protein level). Widely expressed. Detected in brain, fibroblasts, smooth muscle, heart, and embryo. Expressed in primary and metastatic colon tumors and in normal colon tissue.

    翻译后修饰

    N-glycosylated.; Ubiquitinated, leading to its internalization and degradation.; Autophosphorylated on tyrosine residues upon ligand binding. Autophosphorylation occurs in trans, i.e. one subunit of the dimeric receptor phosphorylates tyrosine residues on the other subunit. Phosphorylation at Tyr-731 and Tyr-742 is important for interaction with PIK3R1. Phosphorylation at Tyr-720 and Tyr-754 is important for interaction with PTPN11. Phosphorylation at Tyr-762 is important for interaction with CRK. Phosphorylation at Tyr-572 and Tyr-574 is important for interaction with SRC and SRC family members. Phosphorylation at Tyr-988 and Tyr-1018 is important for interaction with PLCG1.

    亚细胞定位

    Golgi apparatus, Cell membrane, cilium.

    别名

    Alpha-type platelet-derived growth factor receptor antibody

    CD140 antigen-like family member A antibody

    CD140a antibody

    CD140a antigen antibody

    MGC74795 antibody

    PDGF alpha chain antibody

    PDGF-R-alpha antibody

    PDGFR 2 antibody

    PDGFR alpha antibody

    PDGFR2 antibody

    展开

    图片


    • Application: IHC-Fr<br /><br />Species: Mouse<br /><br />Site: E14.5 embyro<br /><br />Sample: Frozen section<br /><br />Antibody concentration: 1:500<br /><br />Antigen retrieval: Not required

      Application: IHC-Fr

      Species: Mouse

      Site: E14.5 embyro

      Sample: Frozen section

      Antibody concentration: 1:500

      Antigen retrieval: Not required


    • Immunohistochemical analysis of paraffin-embedded mouse embryonic femur tissue with Rabbit anti-PDGFR alpha antibody (<a href="/products/ET1702-49" style="font-weight: bold;text-decoration: underline;">ET1702-49</a>) at 1/2,000 dilution.<br /><br />The section was pre-treated using heat mediated antigen retrieval with Tris-EDTA buffer (pH 9.0) for 20 minutes. The tissues were blocked in 1% BSA for 20 minutes at room temperature, washed with ddH<sub>2</sub>O and PBS, and then probed with the primary antibody (<a href="/products/ET1702-49" style="font-weight: bold;text-decoration: underline;">ET1702-49</a>) at 1/2,000 dilution for 1 hour at room temperature. The detection was performed using an HRP conjugated compact polymer system. DAB was used as the chromogen. Tissues were counterstained with hematoxylin and mounted with DPX.

      Immunohistochemical analysis of paraffin-embedded mouse embryonic femur tissue with Rabbit anti-PDGFR alpha antibody (ET1702-49) at 1/2,000 dilution.

      The section was pre-treated using heat mediated antigen retrieval with Tris-EDTA buffer (pH 9.0) for 20 minutes. The tissues were blocked in 1% BSA for 20 minutes at room temperature, washed with ddH2O and PBS, and then probed with the primary antibody (ET1702-49) at 1/2,000 dilution for 1 hour at room temperature. The detection was performed using an HRP conjugated compact polymer system. DAB was used as the chromogen. Tissues were counterstained with hematoxylin and mounted with DPX.


    • Immunohistochemical analysis of paraffin-embedded mouse embryonic intervertebral disc tissue with Rabbit anti-PDGFR alpha antibody (<a href="/products/ET1702-49" style="font-weight: bold;text-decoration: underline;">ET1702-49</a>) at 1/2,000 dilution.<br /><br />The section was pre-treated using heat mediated antigen retrieval with Tris-EDTA buffer (pH 9.0) for 20 minutes. The tissues were blocked in 1% BSA for 20 minutes at room temperature, washed with ddH<sub>2</sub>O and PBS, and then probed with the primary antibody (<a href="/products/ET1702-49" style="font-weight: bold;text-decoration: underline;">ET1702-49</a>) at 1/2,000 dilution for 1 hour at room temperature. The detection was performed using an HRP conjugated compact polymer system. DAB was used as the chromogen. Tissues were counterstained with hematoxylin and mounted with DPX.

      Immunohistochemical analysis of paraffin-embedded mouse embryonic intervertebral disc tissue with Rabbit anti-PDGFR alpha antibody (ET1702-49) at 1/2,000 dilution.

      The section was pre-treated using heat mediated antigen retrieval with Tris-EDTA buffer (pH 9.0) for 20 minutes. The tissues were blocked in 1% BSA for 20 minutes at room temperature, washed with ddH2O and PBS, and then probed with the primary antibody (ET1702-49) at 1/2,000 dilution for 1 hour at room temperature. The detection was performed using an HRP conjugated compact polymer system. DAB was used as the chromogen. Tissues were counterstained with hematoxylin and mounted with DPX.


    • Immunohistochemical analysis of paraffin-embedded mouse embryonic lung tissue with Rabbit anti-PDGFR alpha antibody (<a href="/products/ET1702-49" style="font-weight: bold;text-decoration: underline;">ET1702-49</a>) at 1/2,000 dilution.<br /><br />The section was pre-treated using heat mediated antigen retrieval with Tris-EDTA buffer (pH 9.0) for 20 minutes. The tissues were blocked in 1% BSA for 20 minutes at room temperature, washed with ddH<sub>2</sub>O and PBS, and then probed with the primary antibody (<a href="/products/ET1702-49" style="font-weight: bold;text-decoration: underline;">ET1702-49</a>) at 1/2,000 dilution for 1 hour at room temperature. The detection was performed using an HRP conjugated compact polymer system. DAB was used as the chromogen. Tissues were counterstained with hematoxylin and mounted with DPX.

      Immunohistochemical analysis of paraffin-embedded mouse embryonic lung tissue with Rabbit anti-PDGFR alpha antibody (ET1702-49) at 1/2,000 dilution.

      The section was pre-treated using heat mediated antigen retrieval with Tris-EDTA buffer (pH 9.0) for 20 minutes. The tissues were blocked in 1% BSA for 20 minutes at room temperature, washed with ddH2O and PBS, and then probed with the primary antibody (ET1702-49) at 1/2,000 dilution for 1 hour at room temperature. The detection was performed using an HRP conjugated compact polymer system. DAB was used as the chromogen. Tissues were counterstained with hematoxylin and mounted with DPX.


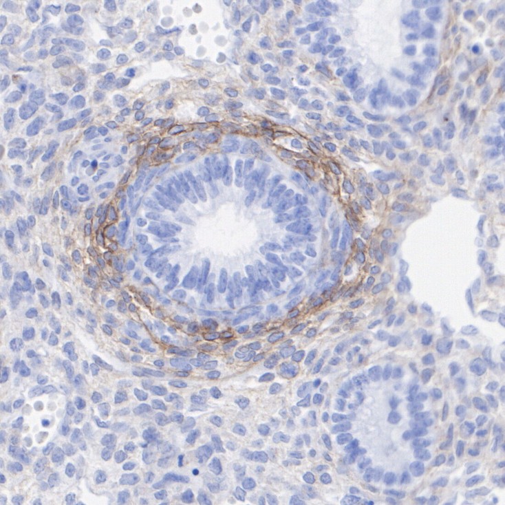
    • Immunohistochemical analysis of paraffin-embedded rat embryonic femur tissue with Rabbit anti-PDGFR alpha antibody (<a href="/products/ET1702-49" style="font-weight: bold;text-decoration: underline;">ET1702-49</a>) at 1/2,000 dilution.<br /><br />The section was pre-treated using heat mediated antigen retrieval with Tris-EDTA buffer (pH 9.0) for 20 minutes. The tissues were blocked in 1% BSA for 20 minutes at room temperature, washed with ddH<sub>2</sub>O and PBS, and then probed with the primary antibody (<a href="/products/ET1702-49" style="font-weight: bold;text-decoration: underline;">ET1702-49</a>) at 1/2,000 dilution for 1 hour at room temperature. The detection was performed using an HRP conjugated compact polymer system. DAB was used as the chromogen. Tissues were counterstained with hematoxylin and mounted with DPX.

      Immunohistochemical analysis of paraffin-embedded rat embryonic femur tissue with Rabbit anti-PDGFR alpha antibody (ET1702-49) at 1/2,000 dilution.

      The section was pre-treated using heat mediated antigen retrieval with Tris-EDTA buffer (pH 9.0) for 20 minutes. The tissues were blocked in 1% BSA for 20 minutes at room temperature, washed with ddH2O and PBS, and then probed with the primary antibody (ET1702-49) at 1/2,000 dilution for 1 hour at room temperature. The detection was performed using an HRP conjugated compact polymer system. DAB was used as the chromogen. Tissues were counterstained with hematoxylin and mounted with DPX.


    • Immunohistochemical analysis of paraffin-embedded rat embryonic intervertebral disc tissue with Rabbit anti-PDGFR alpha antibody (<a href="/products/ET1702-49" style="font-weight: bold;text-decoration: underline;">ET1702-49</a>) at 1/500 dilution.<br /><br />The section was pre-treated using heat mediated antigen retrieval with Tris-EDTA buffer (pH 9.0) for 20 minutes. The tissues were blocked in 1% BSA for 20 minutes at room temperature, washed with ddH<sub>2</sub>O and PBS, and then probed with the primary antibody (<a href="/products/ET1702-49" style="font-weight: bold;text-decoration: underline;">ET1702-49</a>) at 1/500  dilution for 1 hour at room temperature. The detection was performed using an HRP conjugated compact polymer system. DAB was used as the chromogen. Tissues were counterstained with hematoxylin and mounted with DPX.

      Immunohistochemical analysis of paraffin-embedded rat embryonic intervertebral disc tissue with Rabbit anti-PDGFR alpha antibody (ET1702-49) at 1/500 dilution.

      The section was pre-treated using heat mediated antigen retrieval with Tris-EDTA buffer (pH 9.0) for 20 minutes. The tissues were blocked in 1% BSA for 20 minutes at room temperature, washed with ddH2O and PBS, and then probed with the primary antibody (ET1702-49) at 1/500 dilution for 1 hour at room temperature. The detection was performed using an HRP conjugated compact polymer system. DAB was used as the chromogen. Tissues were counterstained with hematoxylin and mounted with DPX.


    • Immunohistochemical analysis of paraffin-embedded rat embryonic lung tissue with Rabbit anti-PDGFR alpha antibody (<a href="/products/ET1702-49" style="font-weight: bold;text-decoration: underline;">ET1702-49</a>) at 1/2,000 dilution.<br /><br />The section was pre-treated using heat mediated antigen retrieval with Tris-EDTA buffer (pH 9.0) for 20 minutes. The tissues were blocked in 1% BSA for 20 minutes at room temperature, washed with ddH<sub>2</sub>O and PBS, and then probed with the primary antibody (<a href="/products/ET1702-49" style="font-weight: bold;text-decoration: underline;">ET1702-49</a>) at 1/2,000 dilution for 1 hour at room temperature. The detection was performed using an HRP conjugated compact polymer system. DAB was used as the chromogen. Tissues were counterstained with hematoxylin and mounted with DPX.

      Immunohistochemical analysis of paraffin-embedded rat embryonic lung tissue with Rabbit anti-PDGFR alpha antibody (ET1702-49) at 1/2,000 dilution.

      The section was pre-treated using heat mediated antigen retrieval with Tris-EDTA buffer (pH 9.0) for 20 minutes. The tissues were blocked in 1% BSA for 20 minutes at room temperature, washed with ddH2O and PBS, and then probed with the primary antibody (ET1702-49) at 1/2,000 dilution for 1 hour at room temperature. The detection was performed using an HRP conjugated compact polymer system. DAB was used as the chromogen. Tissues were counterstained with hematoxylin and mounted with DPX.


    • Immunohistochemical analysis of paraffin-embedded rat endometrium tissue with Rabbit anti-PDGFR alpha antibody (<a href="/products/ET1702-49" style="font-weight: bold;text-decoration: underline;">ET1702-49</a>) at 1/1,000 dilution.<br /><br />The section was pre-treated using heat mediated antigen retrieval with Tris-EDTA buffer (pH 9.0) for 20 minutes. The tissues were blocked in 1% BSA for 20 minutes at room temperature, washed with ddH<sub>2</sub>O and PBS, and then probed with the primary antibody (<a href="/products/ET1702-49" style="font-weight: bold;text-decoration: underline;">ET1702-49</a>) at 1/1,000 dilution for 1 hour at room temperature. The detection was performed using an HRP conjugated compact polymer system. DAB was used as the chromogen. Tissues were counterstained with hematoxylin and mounted with DPX.

      Immunohistochemical analysis of paraffin-embedded rat endometrium tissue with Rabbit anti-PDGFR alpha antibody (ET1702-49) at 1/1,000 dilution.

      The section was pre-treated using heat mediated antigen retrieval with Tris-EDTA buffer (pH 9.0) for 20 minutes. The tissues were blocked in 1% BSA for 20 minutes at room temperature, washed with ddH2O and PBS, and then probed with the primary antibody (ET1702-49) at 1/1,000 dilution for 1 hour at room temperature. The detection was performed using an HRP conjugated compact polymer system. DAB was used as the chromogen. Tissues were counterstained with hematoxylin and mounted with DPX.


    • Immunohistochemical analysis of paraffin-embedded human colon tissue with Rabbit anti-PDGFR alpha antibody (<a href="/products/ET1702-49" style="font-weight: bold;text-decoration: underline;">ET1702-49</a>) at 1/500 dilution.<br /><br />The section was pre-treated using heat mediated antigen retrieval with Tris-EDTA buffer (pH 9.0) for 20 minutes. The tissues were blocked in 1% BSA for 20 minutes at room temperature, washed with ddH<sub>2</sub>O and PBS, and then probed with the primary antibody (<a href="/products/ET1702-49" style="font-weight: bold;text-decoration: underline;">ET1702-49</a>) at 1/500 dilution for 1 hour at room temperature. The detection was performed using an HRP conjugated compact polymer system. DAB was used as the chromogen. Tissues were counterstained with hematoxylin and mounted with DPX.

      Immunohistochemical analysis of paraffin-embedded human colon tissue with Rabbit anti-PDGFR alpha antibody (ET1702-49) at 1/500 dilution.

      The section was pre-treated using heat mediated antigen retrieval with Tris-EDTA buffer (pH 9.0) for 20 minutes. The tissues were blocked in 1% BSA for 20 minutes at room temperature, washed with ddH2O and PBS, and then probed with the primary antibody (ET1702-49) at 1/500 dilution for 1 hour at room temperature. The detection was performed using an HRP conjugated compact polymer system. DAB was used as the chromogen. Tissues were counterstained with hematoxylin and mounted with DPX.


    • Immunohistochemical analysis of paraffin-embedded human colon cancer tissue with Rabbit anti-PDGFR alpha antibody (<a href="/products/ET1702-49" style="font-weight: bold;text-decoration: underline;">ET1702-49</a>) at 1/500 dilution.<br /><br />The section was pre-treated using heat mediated antigen retrieval with Tris-EDTA buffer (pH 9.0) for 20 minutes. The tissues were blocked in 1% BSA for 20 minutes at room temperature, washed with ddH<sub>2</sub>O and PBS, and then probed with the primary antibody (<a href="/products/ET1702-49" style="font-weight: bold;text-decoration: underline;">ET1702-49</a>) at 1/500 dilution for 1 hour at room temperature. The detection was performed using an HRP conjugated compact polymer system. DAB was used as the chromogen. Tissues were counterstained with hematoxylin and mounted with DPX.

      Immunohistochemical analysis of paraffin-embedded human colon cancer tissue with Rabbit anti-PDGFR alpha antibody (ET1702-49) at 1/500 dilution.

      The section was pre-treated using heat mediated antigen retrieval with Tris-EDTA buffer (pH 9.0) for 20 minutes. The tissues were blocked in 1% BSA for 20 minutes at room temperature, washed with ddH2O and PBS, and then probed with the primary antibody (ET1702-49) at 1/500 dilution for 1 hour at room temperature. The detection was performed using an HRP conjugated compact polymer system. DAB was used as the chromogen. Tissues were counterstained with hematoxylin and mounted with DPX.


    • Immunohistochemical analysis of paraffin-embedded human glioblastoma tissue with Rabbit anti-PDGFR alpha antibody (<a href="/products/ET1702-49" style="font-weight: bold;text-decoration: underline;">ET1702-49</a>) at 1/500 dilution.<br /><br />The section was pre-treated using heat mediated antigen retrieval with Tris-EDTA buffer (pH 9.0) for 20 minutes. The tissues were blocked in 1% BSA for 20 minutes at room temperature, washed with ddH<sub>2</sub>O and PBS, and then probed with the primary antibody (<a href="/products/ET1702-49" style="font-weight: bold;text-decoration: underline;">ET1702-49</a>) at 1/500 dilution for 1 hour at room temperature. The detection was performed using an HRP conjugated compact polymer system. DAB was used as the chromogen. Tissues were counterstained with hematoxylin and mounted with DPX.

      Immunohistochemical analysis of paraffin-embedded human glioblastoma tissue with Rabbit anti-PDGFR alpha antibody (ET1702-49) at 1/500 dilution.

      The section was pre-treated using heat mediated antigen retrieval with Tris-EDTA buffer (pH 9.0) for 20 minutes. The tissues were blocked in 1% BSA for 20 minutes at room temperature, washed with ddH2O and PBS, and then probed with the primary antibody (ET1702-49) at 1/500 dilution for 1 hour at room temperature. The detection was performed using an HRP conjugated compact polymer system. DAB was used as the chromogen. Tissues were counterstained with hematoxylin and mounted with DPX.


    • Western blot analysis of PDGFR alpha on NIH/3T3 cell lysates with Rabbit anti-PDGFR alpha antibody (<a href="/products/ET1702-49" style="font-weight: bold;text-decoration: underline;">ET1702-49</a>) at 1/5,000 dilution.<br /><br />Lysates/proteins at 10 µg/Lane.<br /><br />Predicted band size: 123 kDa<br />Observed band size: 180 kDa<br /><br />Exposure time: 2 minutes;<br /><br />6% SDS-PAGE gel.<br /><br />Proteins were transferred to a PVDF membrane and blocked with 5% NFDM/TBST for 1 hour at room temperature. The primary antibody (<a href="/products/ET1702-49" style="font-weight: bold;text-decoration: underline;">ET1702-49</a>) at 1/5,000 dilution was used in 5% NFDM/TBST at room temperature for 2 hours. Goat Anti-Rabbit IgG - HRP Secondary Antibody (<a href="/products/HA1001" style="font-weight: bold;text-decoration: underline;">HA1001</a>) at 1/50,000 dilution was used for 1 hour at room temperature.

      Western blot analysis of PDGFR alpha on NIH/3T3 cell lysates with Rabbit anti-PDGFR alpha antibody (ET1702-49) at 1/5,000 dilution.

      Lysates/proteins at 10 µg/Lane.

      Predicted band size: 123 kDa
      Observed band size: 180 kDa

      Exposure time: 2 minutes;

      6% SDS-PAGE gel.

      Proteins were transferred to a PVDF membrane and blocked with 5% NFDM/TBST for 1 hour at room temperature. The primary antibody (ET1702-49) at 1/5,000 dilution was used in 5% NFDM/TBST at room temperature for 2 hours. Goat Anti-Rabbit IgG - HRP Secondary Antibody (HA1001) at 1/50,000 dilution was used for 1 hour at room temperature.


    • <span style="font-weight: bold;">☑ Knockdown (KD)</span><br /><br />Western blot analysis of PDGFR alpha on different lysates with Rabbit anti-PDGFR alpha antibody (<a href="/products/ET1702-49" style="font-weight: bold;text-decoration: underline;">ET1702-49</a>) at 1/5,000 dilution.<br /><br />Lane 1: NIH/3T3-si NT cell lysate<br />Lane 2: NIH/3T3-si PDGFR alpha cell lysate<br /><br />Lysates/proteins at 10 µg/Lane.<br /><br />Predicted band size: 123 kDa<br />Observed band size: 190 kDa<br /><br />Exposure time: 2 minutes;<br /><br />4-20% SDS-PAGE gel.<br /><br />Proteins were transferred to a PVDF membrane and blocked with 5% NFDM in TBST for 1 hour at room temperature. The primary antibody (<a href="/products/ET1702-49" style="font-weight: bold;text-decoration: underline;">ET1702-49</a>, 1/5,000) and Loading control antibody (Rabbit anti-GAPDH, <a href="/products/ET1601-4" style="font-weight: bold;text-decoration: underline;">ET1601-4</a>, 1/10,000) were used in 5% BSA at room temperature for 2 hours. Goat Anti-rabbit IgG-HRP Secondary Antibody (<a href="/products/HA1001" style="font-weight: bold;text-decoration: underline;">HA1001</a>) at 1/50,000 dilution was used for 1 hour at room temperature.

      ☑ Knockdown (KD)

      Western blot analysis of PDGFR alpha on different lysates with Rabbit anti-PDGFR alpha antibody (ET1702-49) at 1/5,000 dilution.

      Lane 1: NIH/3T3-si NT cell lysate
      Lane 2: NIH/3T3-si PDGFR alpha cell lysate

      Lysates/proteins at 10 µg/Lane.

      Predicted band size: 123 kDa
      Observed band size: 190 kDa

      Exposure time: 2 minutes;

      4-20% SDS-PAGE gel.

      Proteins were transferred to a PVDF membrane and blocked with 5% NFDM in TBST for 1 hour at room temperature. The primary antibody (ET1702-49, 1/5,000) and Loading control antibody (Rabbit anti-GAPDH, ET1601-4, 1/10,000) were used in 5% BSA at room temperature for 2 hours. Goat Anti-rabbit IgG-HRP Secondary Antibody (HA1001) at 1/50,000 dilution was used for 1 hour at room temperature.


Instruction manual/COA download
说明书/COA下载
Published literature
已发表文献
  • PPY-Induced iCAFs Cultivate an Immunosuppressive Microenvironment in Pancreatic Cancer

    Author: Mengdie Cao, Wang Peng, Bin Cheng, Ronghua Wang, Wei Chen, Luyao Liu, Hai Huang, Shiru Chen, Haochen Cui, JingWen Liang, Qiaodan Zhou, Si Xiong, Shuya Bai, Luoxia Liu, Yuchong Zhao

    PMID: 40162859

    期刊: Advanced Science

    应用: mIHC

     

    反应种属:

     

    发表时间: 2025 Mar

    http://pubmed.ncbi.nlm.nih.gov/40162859/

Copyright © 广州杰特伟生物科技有限公司 All Rights Reserved. 备案号:粤ICP备19077843号

  • 首页
  • 电话
  • 咨询
  • 顶部