CDX2 Recombinant Rabbit Monoclonal Antibody [SY09-02]
货号:ET1605-4
一键复制产品信息
价格:
1500.00
规格:
50ul
100ul
货期:
1-3天
请注意: All products are "FOR RESEARCH USE ONLY AND ARE NOT INTENDED FOR DIAGNOSTIC OR THERAPEUTIC USE"
Details
产品详情
  • ET1605-4

    概述

    产品名称

    CDX2 Recombinant Rabbit Monoclonal Antibody [SY09-02]

    抗体类型

    Recombinant Rabbit monoclonal Antibody

    免疫原

    Synthetic peptide within human CDX2 aa 20-60.

    种属反应性

    Human, Mouse, Rat

    验证应用

    WB, IF-Cell, IF-Tissue, IHC-P, FC, CUT&Tag-seq

    分子量

    Predicted band size: 34 kDa

    阳性对照

    Caco-2 cell lysate, LoVo cell lysate, AGS cell lysate, LOVO, AGS, human appendix tissue, Human stomach cancer tissue, human colon cancer tissue, human colon tissue, mouse colon tissue, rat colon tissue, Hela.

    偶联

    unconjugated

    克隆号

    SY09-02

    产品特性

    形态

    Liquid

    浓度

    1ug/ul

    存放说明

    Store at +4℃ after thawing. Aliquot store at -20℃ or -80℃. Avoid repeated freeze / thaw cycles.

    存储缓冲液

    1*TBS (pH7.4), 0.05% BSA, 40% Glycerol. Preservative: 0.05% Sodium Azide.

    亚型

    IgG

    纯化方式

    Protein A affinity purified.

    应用稀释度


    • WB

    • 1:1,000-1:2,000


    • IF-Cell

    • 1:50-1:200


    • IF-Tissue

    • 1:200-1:2,000


    • IHC-P

    • 1:500-20,000


    • FC

    • 1:50-1:100

    发表文章中的应用

    发表文章中的种属

    靶点

    功能

    In common with the two other Cdx genes, CDX2 regulates several essential processes in the development and function of the lower gastrointestinal tract (from the duodenum to the anus) in vertebrates. In vertebrate embryonic development, CDX2 becomes active in endodermal cells that are posterior to the developing stomach.These cells eventually form the intestinal epithelium. The activity of CDX2 at this stage is essential for the correct formation of the intestine and the anus.CDX2 is also required for the development of the placenta.

    背景文献

    1. Yang Y et al. Heightened potency of human pluripotent stem cell lines created by transient BMP4 exposure. Proc Natl Acad Sci U S A 112:E2337-46 (2015).

    2. Ohinata Y & Tsukiyama T Establishment of trophoblast stem cells under defined culture conditions in mice. PLoS One 9:e107308 (2014).

    序列相似性

    Belongs to the Caudal homeobox family.

    翻译后修饰

    Phosphorylation of Ser-60 mediates the transactivation capacity.

    亚细胞定位

    Nucleus.

    别名

    Caudal type homeo box 2 antibody

    Caudal type homeo box transcription factor 2 antibody

    Caudal type homeobox 2 antibody

    Caudal type homeobox protein 2 antibody

    Caudal type homeobox transcription factor 2 antibody

    Caudal-type homeobox protein 2 antibody

    CDX 2 antibody

    CDX 3 antibody

    CDX-3 antibody

    Cdx2 antibody

    展开

    图片


    • Western blot analysis of CDX2 on different lysates with Rabbit anti-CDX2 antibody (<a href="/products/ET1605-4" style="font-weight: bold;text-decoration: underline;">ET1605-4</a>) at 1/1,000 dilution.<br /><br />Lane 1: Caco-2 cell lysate<br />Lane 2: LoVo cell lysate<br />Lane 3: AGS cell lysate<br /><br />Lysates/proteins at 15 µg/Lane.<br /><br />Predicted band size: 34 kDa<br />Observed band size: 34 kDa<br /><br />Exposure time: 25 seconds; ECL: K1801;<br /><br />4-20% SDS-PAGE gel.<br /><br />Proteins were transferred to a PVDF membrane and blocked with 5% NFDM/TBST for 1 hour at room temperature. The primary antibody (<a href="/products/ET1605-4" style="font-weight: bold;text-decoration: underline;">ET1605-4</a>) at 1/1,000 dilution was used in 5% NFDM/TBST at 4℃ overnight. Goat Anti-Rabbit IgG - HRP Secondary Antibody (<a href="/products/HA1001" style="font-weight: bold;text-decoration: underline;">HA1001</a>) at 1/50,000 dilution was used for 1 hour at room temperature.

      Western blot analysis of CDX2 on different lysates with Rabbit anti-CDX2 antibody (ET1605-4) at 1/1,000 dilution.

      Lane 1: Caco-2 cell lysate
      Lane 2: LoVo cell lysate
      Lane 3: AGS cell lysate

      Lysates/proteins at 15 µg/Lane.

      Predicted band size: 34 kDa
      Observed band size: 34 kDa

      Exposure time: 25 seconds; ECL: K1801;

      4-20% SDS-PAGE gel.

      Proteins were transferred to a PVDF membrane and blocked with 5% NFDM/TBST for 1 hour at room temperature. The primary antibody (ET1605-4) at 1/1,000 dilution was used in 5% NFDM/TBST at 4℃ overnight. Goat Anti-Rabbit IgG - HRP Secondary Antibody (HA1001) at 1/50,000 dilution was used for 1 hour at room temperature.


    • <span style="font-weight: bold;">☑ Knockdown (KD)</span><br /><br />Western blot analysis of CDX2 on different lysates with Rabbit anti-CDX2 antibody (<a href="/products/ET1605-4" style="font-weight: bold;text-decoration: underline;">ET1605-4</a>) at 1/1,000 dilution.<br /><br />Lane 1: MCF7-si NT cell lysate<br />Lane 2: MCF7-si CDX2 cell lysate<br /><br />Lysates/proteins at 10 µg/Lane.<br /><br />Predicted band size: 34 kDa<br />Observed band size: 34 kDa<br /><br />Exposure time: 3 minutes;<br /><br />4-20% SDS-PAGE gel.<br /><br />Proteins were transferred to a PVDF membrane and blocked with 5% NFDM/TBST for 1 hour at room temperature. The primary antibody (<a href="/products/ET1605-4" style="font-weight: bold;text-decoration: underline;">ET1605-4</a>) at 1/1,000 dilution was used in 5% NFDM/TBST at 4℃ overnight. Goat Anti-Rabbit IgG - HRP Secondary Antibody (<a href="/products/HA1001" style="font-weight: bold;text-decoration: underline;">HA1001</a>) at 1/50,000 dilution was used for 1 hour at room temperature.

      ☑ Knockdown (KD)

      Western blot analysis of CDX2 on different lysates with Rabbit anti-CDX2 antibody (ET1605-4) at 1/1,000 dilution.

      Lane 1: MCF7-si NT cell lysate
      Lane 2: MCF7-si CDX2 cell lysate

      Lysates/proteins at 10 µg/Lane.

      Predicted band size: 34 kDa
      Observed band size: 34 kDa

      Exposure time: 3 minutes;

      4-20% SDS-PAGE gel.

      Proteins were transferred to a PVDF membrane and blocked with 5% NFDM/TBST for 1 hour at room temperature. The primary antibody (ET1605-4) at 1/1,000 dilution was used in 5% NFDM/TBST at 4℃ overnight. Goat Anti-Rabbit IgG - HRP Secondary Antibody (HA1001) at 1/50,000 dilution was used for 1 hour at room temperature.


    • ICC staining of CDX2 in LOVO cells (red). Formalin fixed cells were permeabilized with 0.1% Triton X-100 in TBS for 10 minutes at room temperature and blocked with 1% Blocker BSA for 15 minutes at room temperature. Cells were probed with the primary antibody (<a href="/products/ET1605-4" style="font-weight: bold;text-decoration: underline;">ET1605-4</a>, 1/50) for 1 hour at room temperature, washed with PBS. Alexa Fluor&reg;488 Goat anti-Rabbit IgG was used as the secondary antibody at 1/1,000 dilution. The nuclear counter stain is DAPI (blue).

      ICC staining of CDX2 in LOVO cells (red). Formalin fixed cells were permeabilized with 0.1% Triton X-100 in TBS for 10 minutes at room temperature and blocked with 1% Blocker BSA for 15 minutes at room temperature. Cells were probed with the primary antibody (ET1605-4, 1/50) for 1 hour at room temperature, washed with PBS. Alexa Fluor®488 Goat anti-Rabbit IgG was used as the secondary antibody at 1/1,000 dilution. The nuclear counter stain is DAPI (blue).


    • ICC staining of CDX2 in AGS cells (red). Formalin fixed cells were permeabilized with 0.1% Triton X-100 in TBS for 10 minutes at room temperature and blocked with 1% Blocker BSA for 15 minutes at room temperature. Cells were probed with the primary antibody (<a href="/products/ET1605-4" style="font-weight: bold;text-decoration: underline;">ET1605-4</a>, 1/50) for 1 hour at room temperature, washed with PBS. Alexa Fluor&reg;488 Goat anti-Rabbit IgG was used as the secondary antibody at 1/1,000 dilution. The nuclear counter stain is DAPI (blue).

      ICC staining of CDX2 in AGS cells (red). Formalin fixed cells were permeabilized with 0.1% Triton X-100 in TBS for 10 minutes at room temperature and blocked with 1% Blocker BSA for 15 minutes at room temperature. Cells were probed with the primary antibody (ET1605-4, 1/50) for 1 hour at room temperature, washed with PBS. Alexa Fluor®488 Goat anti-Rabbit IgG was used as the secondary antibody at 1/1,000 dilution. The nuclear counter stain is DAPI (blue).


    • Immunohistochemical analysis of paraffin-embedded human appendix tissue with Rabbit anti-CDX2 antibody (<a href="/products/ET1605-4" style="font-weight: bold;text-decoration: underline;">ET1605-4</a>) at 1/5,000 dilution.<br /><br />The section was pre-treated using heat mediated antigen retrieval with sodium citrate buffer (pH 6.0) for 2 minutes. The tissues were blocked in 1% BSA for 20 minutes at room temperature, washed with ddH<sub>2</sub>O and PBS, and then probed with the primary antibody (<a href="/products/ET1605-4" style="font-weight: bold;text-decoration: underline;">ET1605-4</a>) at 1/5,000 dilution for 1 hour at room temperature. The detection was performed using an HRP conjugated compact polymer system. DAB was used as the chromogen. Tissues were counterstained with hematoxylin and mounted with DPX.

      Immunohistochemical analysis of paraffin-embedded human appendix tissue with Rabbit anti-CDX2 antibody (ET1605-4) at 1/5,000 dilution.

      The section was pre-treated using heat mediated antigen retrieval with sodium citrate buffer (pH 6.0) for 2 minutes. The tissues were blocked in 1% BSA for 20 minutes at room temperature, washed with ddH2O and PBS, and then probed with the primary antibody (ET1605-4) at 1/5,000 dilution for 1 hour at room temperature. The detection was performed using an HRP conjugated compact polymer system. DAB was used as the chromogen. Tissues were counterstained with hematoxylin and mounted with DPX.


    • Immunohistochemical analysis of paraffin-embedded Human stomach cancer tissue with Rabbit anti-CDX2 antibody (<a href="/products/ET1605-4" style="font-weight: bold;text-decoration: underline;">ET1605-4</a>) at 1/500 dilution.<br /><br />The section was pre-treated using heat mediated antigen retrieval with sodium citrate buffer (pH 6.0) for 2 minutes. The tissues were blocked in 1% BSA for 20 minutes at room temperature, washed with ddH<sub>2</sub>O and PBS, and then probed with the primary antibody (<a href="/products/ET1605-4" style="font-weight: bold;text-decoration: underline;">ET1605-4</a>) at 1/500 dilution for 1 hour at room temperature. The detection was performed using an HRP conjugated compact polymer system. DAB was used as the chromogen. Tissues were counterstained with hematoxylin and mounted with DPX.

      Immunohistochemical analysis of paraffin-embedded Human stomach cancer tissue with Rabbit anti-CDX2 antibody (ET1605-4) at 1/500 dilution.

      The section was pre-treated using heat mediated antigen retrieval with sodium citrate buffer (pH 6.0) for 2 minutes. The tissues were blocked in 1% BSA for 20 minutes at room temperature, washed with ddH2O and PBS, and then probed with the primary antibody (ET1605-4) at 1/500 dilution for 1 hour at room temperature. The detection was performed using an HRP conjugated compact polymer system. DAB was used as the chromogen. Tissues were counterstained with hematoxylin and mounted with DPX.


    • Immunohistochemical analysis of paraffin-embedded human colon cancer tissue with Rabbit anti-CDX2 antibody (<a href="/products/ET1605-4" style="font-weight: bold;text-decoration: underline;">ET1605-4</a>) at 1/5,000 dilution.<br /><br />The section was pre-treated using heat mediated antigen retrieval with sodium citrate buffer (pH 6.0) for 2 minutes. The tissues were blocked in 1% BSA for 20 minutes at room temperature, washed with ddH<sub>2</sub>O and PBS, and then probed with the primary antibody (<a href="/products/ET1605-4" style="font-weight: bold;text-decoration: underline;">ET1605-4</a>) at 1/5,000 dilution for 1 hour at room temperature. The detection was performed using an HRP conjugated compact polymer system. DAB was used as the chromogen. Tissues were counterstained with hematoxylin and mounted with DPX.

      Immunohistochemical analysis of paraffin-embedded human colon cancer tissue with Rabbit anti-CDX2 antibody (ET1605-4) at 1/5,000 dilution.

      The section was pre-treated using heat mediated antigen retrieval with sodium citrate buffer (pH 6.0) for 2 minutes. The tissues were blocked in 1% BSA for 20 minutes at room temperature, washed with ddH2O and PBS, and then probed with the primary antibody (ET1605-4) at 1/5,000 dilution for 1 hour at room temperature. The detection was performed using an HRP conjugated compact polymer system. DAB was used as the chromogen. Tissues were counterstained with hematoxylin and mounted with DPX.


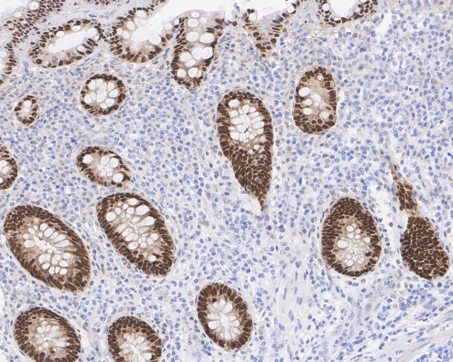
    • Immunohistochemical analysis of paraffin-embedded human colon tissue with Rabbit anti-CDX2 antibody (<a href="/products/ET1605-4" style="font-weight: bold;text-decoration: underline;">ET1605-4</a>) at 1/20,000 dilution.<br /><br />The section was pre-treated using heat mediated antigen retrieval with sodium citrate buffer (pH 6.0) for 2 minutes. The tissues were blocked in 1% BSA for 20 minutes at room temperature, washed with ddH<sub>2</sub>O and PBS, and then probed with the primary antibody (<a href="/products/ET1605-4" style="font-weight: bold;text-decoration: underline;">ET1605-4</a>) at 1/20,000 dilution for 1 hour at room temperature. The detection was performed using an HRP conjugated compact polymer system. DAB was used as the chromogen. Tissues were counterstained with hematoxylin and mounted with DPX.

      Immunohistochemical analysis of paraffin-embedded human colon tissue with Rabbit anti-CDX2 antibody (ET1605-4) at 1/20,000 dilution.

      The section was pre-treated using heat mediated antigen retrieval with sodium citrate buffer (pH 6.0) for 2 minutes. The tissues were blocked in 1% BSA for 20 minutes at room temperature, washed with ddH2O and PBS, and then probed with the primary antibody (ET1605-4) at 1/20,000 dilution for 1 hour at room temperature. The detection was performed using an HRP conjugated compact polymer system. DAB was used as the chromogen. Tissues were counterstained with hematoxylin and mounted with DPX.


    • Immunohistochemical analysis of paraffin-embedded mouse colon tissue with Rabbit anti-CDX2 antibody (<a href="/products/ET1605-4" style="font-weight: bold;text-decoration: underline;">ET1605-4</a>) at 1/20,000 dilution.<br /><br />The section was pre-treated using heat mediated antigen retrieval with sodium citrate buffer (pH 6.0) for 2 minutes. The tissues were blocked in 1% BSA for 20 minutes at room temperature, washed with ddH<sub>2</sub>O and PBS, and then probed with the primary antibody (<a href="/products/ET1605-4" style="font-weight: bold;text-decoration: underline;">ET1605-4</a>) at 1/20,000 dilution for 1 hour at room temperature. The detection was performed using an HRP conjugated compact polymer system. DAB was used as the chromogen. Tissues were counterstained with hematoxylin and mounted with DPX.

      Immunohistochemical analysis of paraffin-embedded mouse colon tissue with Rabbit anti-CDX2 antibody (ET1605-4) at 1/20,000 dilution.

      The section was pre-treated using heat mediated antigen retrieval with sodium citrate buffer (pH 6.0) for 2 minutes. The tissues were blocked in 1% BSA for 20 minutes at room temperature, washed with ddH2O and PBS, and then probed with the primary antibody (ET1605-4) at 1/20,000 dilution for 1 hour at room temperature. The detection was performed using an HRP conjugated compact polymer system. DAB was used as the chromogen. Tissues were counterstained with hematoxylin and mounted with DPX.


    • Immunohistochemical analysis of paraffin-embedded rat colon tissue with Rabbit anti-CDX2 antibody (<a href="/products/ET1605-4" style="font-weight: bold;text-decoration: underline;">ET1605-4</a>) at 1/20,000 dilution.<br /><br />The section was pre-treated using heat mediated antigen retrieval with sodium citrate buffer (pH 6.0) for 2 minutes. The tissues were blocked in 1% BSA for 20 minutes at room temperature, washed with ddH<sub>2</sub>O and PBS, and then probed with the primary antibody (<a href="/products/ET1605-4" style="font-weight: bold;text-decoration: underline;">ET1605-4</a>) at 1/20,000 dilution for 1 hour at room temperature. The detection was performed using an HRP conjugated compact polymer system. DAB was used as the chromogen. Tissues were counterstained with hematoxylin and mounted with DPX.

      Immunohistochemical analysis of paraffin-embedded rat colon tissue with Rabbit anti-CDX2 antibody (ET1605-4) at 1/20,000 dilution.

      The section was pre-treated using heat mediated antigen retrieval with sodium citrate buffer (pH 6.0) for 2 minutes. The tissues were blocked in 1% BSA for 20 minutes at room temperature, washed with ddH2O and PBS, and then probed with the primary antibody (ET1605-4) at 1/20,000 dilution for 1 hour at room temperature. The detection was performed using an HRP conjugated compact polymer system. DAB was used as the chromogen. Tissues were counterstained with hematoxylin and mounted with DPX.


    • <span style="font-weight: bold;">☑ Relative expression (RE)</span><br /><br />Immunohistochemical analysis of paraffin-embedded human thymus tissue (negative) with Rabbit anti-CDX2 antibody (<a href="/products/ET1605-4" style="font-weight: bold;text-decoration: underline;">ET1605-4</a>) at 1/5,000 dilution.<br /><br />The section was pre-treated using heat mediated antigen retrieval with sodium citrate buffer (pH 6.0) for 2 minutes. The tissues were blocked in 1% BSA for 20 minutes at room temperature, washed with ddH<sub>2</sub>O and PBS, and then probed with the primary antibody (<a href="/products/ET1605-4" style="font-weight: bold;text-decoration: underline;">ET1605-4</a>) at 1/5,000 dilution for 1 hour at room temperature. The detection was performed using an HRP conjugated compact polymer system. DAB was used as the chromogen. Tissues were counterstained with hematoxylin and mounted with DPX.

      ☑ Relative expression (RE)

      Immunohistochemical analysis of paraffin-embedded human thymus tissue (negative) with Rabbit anti-CDX2 antibody (ET1605-4) at 1/5,000 dilution.

      The section was pre-treated using heat mediated antigen retrieval with sodium citrate buffer (pH 6.0) for 2 minutes. The tissues were blocked in 1% BSA for 20 minutes at room temperature, washed with ddH2O and PBS, and then probed with the primary antibody (ET1605-4) at 1/5,000 dilution for 1 hour at room temperature. The detection was performed using an HRP conjugated compact polymer system. DAB was used as the chromogen. Tissues were counterstained with hematoxylin and mounted with DPX.


    • <span style="font-weight: bold;">☑ Relative expression (RE)</span><br /><br />Immunohistochemical analysis of paraffin-embedded rat thymus tissue (negative) with Rabbit anti-CDX2 antibody (<a href="/products/ET1605-4" style="font-weight: bold;text-decoration: underline;">ET1605-4</a>) at 1/5,000 dilution.<br /><br />The section was pre-treated using heat mediated antigen retrieval with sodium citrate buffer (pH 6.0) for 2 minutes. The tissues were blocked in 1% BSA for 20 minutes at room temperature, washed with ddH<sub>2</sub>O and PBS, and then probed with the primary antibody (<a href="/products/ET1605-4" style="font-weight: bold;text-decoration: underline;">ET1605-4</a>) at 1/5,000 dilution for 1 hour at room temperature. The detection was performed using an HRP conjugated compact polymer system. DAB was used as the chromogen. Tissues were counterstained with hematoxylin and mounted with DPX.

      ☑ Relative expression (RE)

      Immunohistochemical analysis of paraffin-embedded rat thymus tissue (negative) with Rabbit anti-CDX2 antibody (ET1605-4) at 1/5,000 dilution.

      The section was pre-treated using heat mediated antigen retrieval with sodium citrate buffer (pH 6.0) for 2 minutes. The tissues were blocked in 1% BSA for 20 minutes at room temperature, washed with ddH2O and PBS, and then probed with the primary antibody (ET1605-4) at 1/5,000 dilution for 1 hour at room temperature. The detection was performed using an HRP conjugated compact polymer system. DAB was used as the chromogen. Tissues were counterstained with hematoxylin and mounted with DPX.


    • Flow cytometric analysis of CDX2 was done on Hela cells. The cells were fixed, permeabilized and stained with the primary antibody (<a href="/products/ET1605-4" style="font-weight: bold;text-decoration: underline;">ET1605-4</a>, 1/50) (red). After incubation of the primary antibody at room temperature for an hour, the cells were stained with a Alexa Fluor 488-conjugated Goat anti-Rabbit IgG Secondary antibody at 1/1000 dilution for 30 minutes.Unlabelled sample was used as a control (cells without incubation with primary antibody; black).

      Flow cytometric analysis of CDX2 was done on Hela cells. The cells were fixed, permeabilized and stained with the primary antibody (ET1605-4, 1/50) (red). After incubation of the primary antibody at room temperature for an hour, the cells were stained with a Alexa Fluor 488-conjugated Goat anti-Rabbit IgG Secondary antibody at 1/1000 dilution for 30 minutes.Unlabelled sample was used as a control (cells without incubation with primary antibody; black).


Instruction manual/COA download
说明书/COA下载
Published literature
已发表文献
  • Microfluidic droplet encapsulation‐guided organoid growth promotes parental tumor phenotype recapitulation

    Author:

    PMID: 37622267

    期刊: International Journal Of Cancer

    应用: IHC

     

    反应种属: Human

     

    发表时间: 2023 Aug

    http://pubmed.ncbi.nlm.nih.gov/37622267/

Copyright © 广州杰特伟生物科技有限公司 All Rights Reserved. 备案号:粤ICP备19077843号

  • 首页
  • 电话
  • 咨询
  • 顶部