BRG1 Recombinant Rabbit Monoclonal Antibody [SN20-03]
货号:ET1611-85
一键复制产品信息
价格:
1500.00
规格:
50ul
100ul
货期:
1-3天
请注意: All products are "FOR RESEARCH USE ONLY AND ARE NOT INTENDED FOR DIAGNOSTIC OR THERAPEUTIC USE"
Details
产品详情
  • ET1611-85

    概述

    产品名称

    BRG1 Recombinant Rabbit Monoclonal Antibody [SN20-03]

    抗体类型

    Recombinant Rabbit monoclonal Antibody

    免疫原

    Synthetic peptide within human BRG1 aa 240-280.

    种属反应性

    Human, Mouse, Rat (Predicted: Pig)

     

    验证应用

    WB, IF-Cell, IF-Tissue, IHC-P, IHC-Fr, FC

    分子量

    Predicted band size: 185 kDa

    阳性对照

    HeLa, HeLa cell lysate, K-562 cell lysate, NIH/3T3 cell lysate, RAW264.7 cell lysate, C6 cell lysate, PC-12 cell lysate, HepG2, NIH/3T3, human tonsil tissue, human kidney tissue, human breast carcinoma tissue, mouse testis tissue, mouse colon tissue, mouse kidney tissue, mouse epididymis tissue, rat colon tissue, rat kidney tissue, rat brain tissue, mouse hippocampus tissue, mouse cerebral cortex tissue.

    偶联

    unconjugated

    克隆号

    SN20-03

    产品特性

    形态

    Liquid

    浓度

    1ug/ul

    存放说明

    Store at +4℃ after thawing. Aliquot store at -20℃ or -80℃. Avoid repeated freeze / thaw cycles.

    存储缓冲液

    1*TBS (pH7.4), 0.05% BSA, 40% Glycerol. Preservative: 0.05% Sodium Azide.

    亚型

    IgG

    纯化方式

    Protein A affinity purified.

    应用稀释度


    • WB

    • 1:20,000-1:50,000


    • IF-Cell

    • 1:200-1:1,000


    • IHC-P

    • 1:1,000-1:5,000


    • IF-Tissue

    • 1:200-1:500


    • IHC-Fr

    • 1:1,000


    • FC

    • 1:1,000

    发表文章中的应用

    发表文章中的种属

    靶点

    功能

    The SWI-SNF complex is involved in the activation of transcription via the remodeling of nucleosome structure in an ATP-dependent manner. Brm (also designated SNF2α) and Brg-1 (also designated SNF2β) are the ATPase subunits of the mammalian SWI-SNF complex. Brm, Brg-1, Ini1 (integrase interactor 1, also designated SNF5), BAF155 (also designated SRG3) and BAF170 are thought to comprise the functional core of the SWI-SNF complex. Addition of Ini1, BAF155 and BAF170 to Brg-1 appears to increase remodeling activity. Other complex subunits are thought to play regulatory roles. hSNF2L and hSNF2H both appear to be homologs of Drosophila ISWI, a Brm related ATPase that is present in chromatin remodeling complexes other than SWI/SNF, including the NURF (nucleosome remodeling factor).

    背景文献

    1. Madsen MS et al. Peroxisome proliferator-activated receptor and C/EBPa synergistically activate key metabolic adipocyte genes by assisted loading. Mol Cell Biol 34:939-54 (2014).

    2. Ramos P et al. Small cell carcinoma of the ovary, hypercalcemic type, displays frequent inactivating germline and somatic mutations in SMARCA4. Nat Genet 46:427-9 (2014).

    序列相似性

    Belongs to the SNF2/RAD54 helicase family.

    组织特异性

    Colocalizes with ZEB1 in E-cadherin-negative cells from established lines, and stroma of normal colon as well as in de-differentiated epithelial cells at the invasion front of colorectal carcinomas (at protein level).

    亚细胞定位

    Nucleus.

    别名

    ATP dependent helicase SMARCA4 antibody

    ATP-dependent helicase SMARCA4 antibody

    BAF 190 antibody

    BAF190 antibody

    BAF190A antibody

    Brahma protein like 1 antibody

    BRG1 antibody

    BRG1 associated factor 190A antibody

    BRG1 protein antibody

    BRG1-associated factor 190A antibody

    展开

    图片


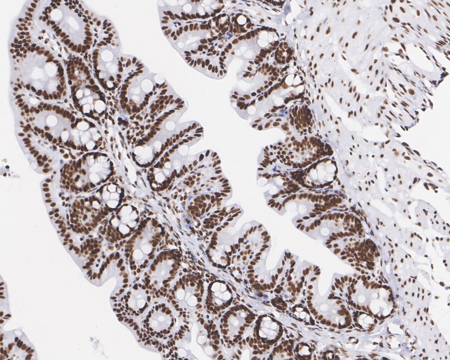
    • Application: IHC-Fr<br /><br />Species: Mouse<br /><br />Site: E14.5 embryo<br /><br />Sample: Frozen section<br /><br />Antibody concentration: 1:1,000<br /><br />Antigen retrieval: Not required

      Application: IHC-Fr

      Species: Mouse

      Site: E14.5 embryo

      Sample: Frozen section

      Antibody concentration: 1:1,000

      Antigen retrieval: Not required


    • Application: IHC-Fr<br /><br />Species: Mouse<br /><br />Site: E14.5 embryo<br /><br />Sample: Frozen section<br /><br />Antibody concentration: 1:1,000<br /><br />Antigen retrieval: Not required

      Application: IHC-Fr

      Species: Mouse

      Site: E14.5 embryo

      Sample: Frozen section

      Antibody concentration: 1:1,000

      Antigen retrieval: Not required


    • Application: IHC-Fr<br /><br />Species: Mouse<br /><br />Site: E14.5 embryo<br /><br />Sample: Frozen section<br /><br />Antibody concentration: 1:1,000<br /><br />Antigen retrieval: The section was pre-treated using heat mediated antigen retrieval with sodium citrate buffer (pH 6.0) for about 2 minutes in microwave oven.

      Application: IHC-Fr

      Species: Mouse

      Site: E14.5 embryo

      Sample: Frozen section

      Antibody concentration: 1:1,000

      Antigen retrieval: The section was pre-treated using heat mediated antigen retrieval with sodium citrate buffer (pH 6.0) for about 2 minutes in microwave oven.


    • Application: IHC-Fr<br /><br />Species: Mouse<br /><br />Site: Testis<br /><br />Sample: Frozen section<br /><br />Antibody concentration: 1:1,000<br /><br />Antigen retrieval: The section was pre-treated using heat mediated antigen retrieval with sodium citrate buffer (pH 6.0) for about 2 minutes in microwave oven.

      Application: IHC-Fr

      Species: Mouse

      Site: Testis

      Sample: Frozen section

      Antibody concentration: 1:1,000

      Antigen retrieval: The section was pre-treated using heat mediated antigen retrieval with sodium citrate buffer (pH 6.0) for about 2 minutes in microwave oven.


    • <span style=

      ☑ Relative expression (RE)

      Western blot analysis of BRG1 on different lysates with Rabbit anti-BRG1 antibody (ET1611-85) at 1/50,000 dilution and competitor's antibody at 1/10,000 dilution.

      Lane 1: HeLa cell lysate
      Lane 2: K-562 cell lysate
      Lane 3: A549 cell lysate (negative)
      Lane 4: NIH/3T3 cell lysate
      Lane 5: RAW264.7 cell lysate
      Lane 6: C6 cell lysate
      Lane 7: PC-12 cell lysate

      Lysates/proteins at 15 µg/Lane.

      Predicted band size: 185 kDa
      Observed band size: 200 kDa

      Exposure time: 1 minute; ECL: K1801;

      4-20% SDS-PAGE gel.

      Proteins were transferred to a PVDF membrane and blocked with 5% NFDM/TBST for 1 hour at room temperature. The primary antibody (ET1611-85) at 1/50,000 dilution and competitor's antibody at 1/10,000 dilution were used in 5% NFDM/TBST at 4℃ overnight. Goat Anti-Rabbit IgG - HRP Secondary Antibody (HA1001) at 1/50,000 dilution was used for 1 hour at room temperature.


Instruction manual/COA download
说明书/COA下载
Published literature
已发表文献
  • FBXO42 facilitates Notch signaling activation and global chromatin relaxation by promoting K63-linked polyubiquitination of RBPJ

    Author: Jiang, H., Bian, W., Sui, Y., Li, H., Zhao, H., Wang, W., & Li, X.

    PMID: 36129980

    期刊: Science Advances

    应用: WB

     

    反应种属: Human

     

    发表时间: 2022 Sept

     Citation

    http://pubmed.ncbi.nlm.nih.gov/36129980/

Copyright © 广州杰特伟生物科技有限公司 All Rights Reserved. 备案号:粤ICP备19077843号

  • 首页
  • 电话
  • 咨询
  • 顶部