
Vimentin Recombinant Rabbit Monoclonal Antibody [SC60-05]
Recombinant Rabbit monoclonal Antibody
Synthetic peptide within C-terminal human Vimentin.
Human, Mouse, Rat (Predicted: Cynomolgus monkey, Pig)
WB, IHC-P, IHC-Fr, IF-Tissue, IF-Cell, FC, IP
Predicted band size: 54 kDa
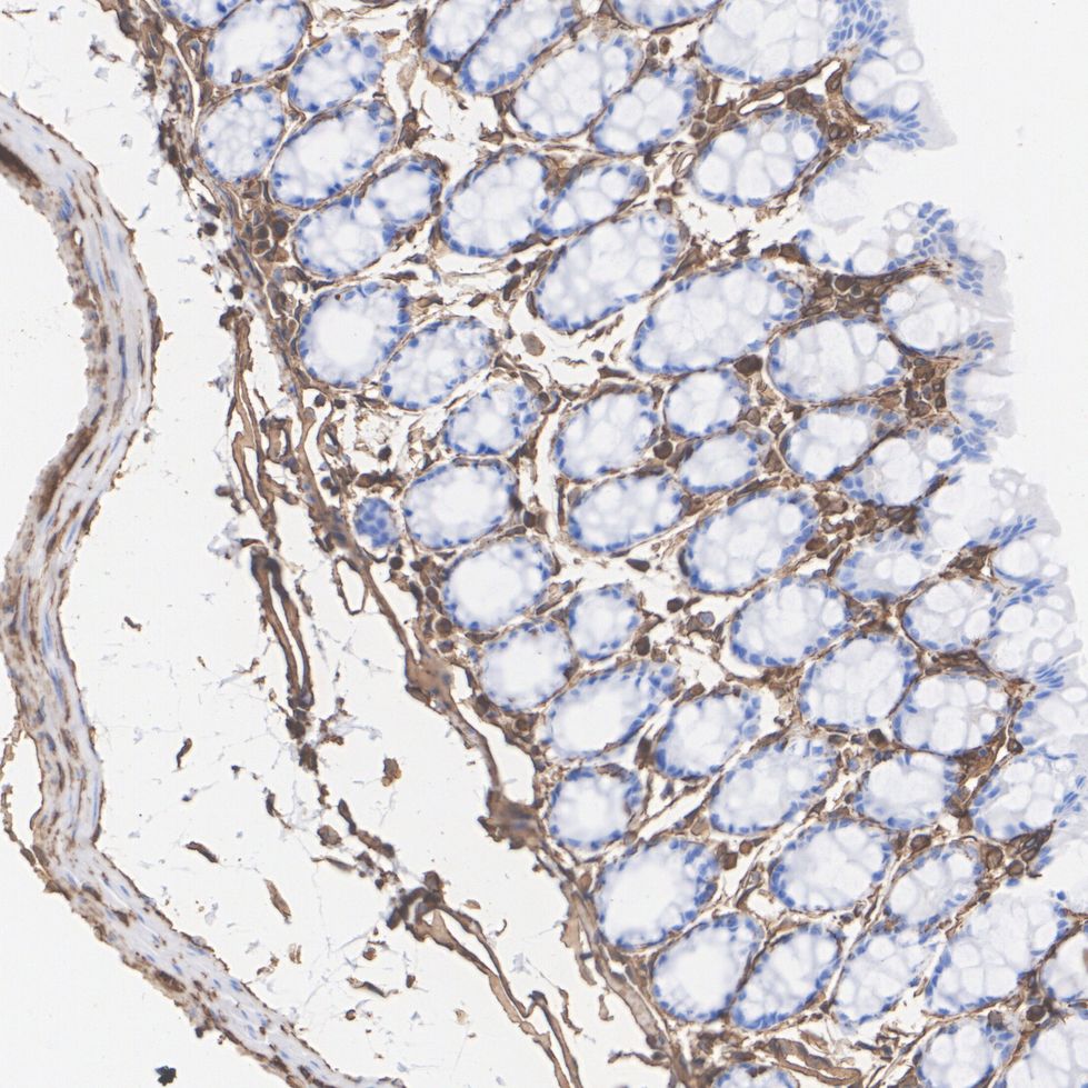
HeLa cell lysate, HEK-293 cell lysate, Jurkat cell lysate, NIH/3T3 cell lysate, C6 cell lysate, C2C12 cell lysate, RAW264.7 cell lysate, C6, HeLa, L6, C2C12, human endometrial carcinoma tissue, mouse colon tissue, mouse cerebellum tissue, human breast carcinoma tissue, human colon tissue, human kidney tissue, mouse large intestine tissue.
unconjugated
SC60-05
Liquid
1ug/ul
Store at +4℃ after thawing. Aliquot store at -20℃ or -80℃. Avoid repeated freeze / thaw cycles.
1*TBS (pH7.4), 0.05% BSA, 40% Glycerol. Preservative: 0.05% Sodium Azide.
IgG
Protein A affinity purified.
WB
1:20,000-1:50,000
IHC-P
1:5,000-1:10,000
IHC-Fr
1:1,000-1:2,000
IF-Tissue
1:1,000-1:2,000
IF-Cell
1:100-1:500
FC
1:1,000
IP
Use at an assay dependent concentration.
| Human | 查看 35 篇文献如下 |
| Mouse | 查看 17 篇文献如下 |
| Rat | 查看 1 篇文献如下 |
Vimentin (57 kDa) is the most ubiquituos intermediate filament protein and the first to be expressed during cell differentiation. All primitive cell types express vimentin but in most non-mesenchymal cells it is replaced by other intermediate filament proteins during differentiation. Vimentin is expressed in a wide variety of mesenchymal cell types: fibroblasts, endothelial cells etc., and in a number of other cell types derived from mesoderm, e.g., mesothelium and ovarian granulosa cells. Vimentin is present in many different neoplasms but is particulary expressed in those originated from mesenchymal cells. Sarcomas e.g., fibrosarcoma, malignt fibrous histiocytoma, angiosarcoma, and leio- and rhabdomyosarcoma, as well as lymphomas, malignant melanoma and schwannoma, are virtually always vimentin positive. Mesoderm derived carcinomas like renal cell carcinoma, adrenal cortical carcinoma and adenocarcinomas from endometrium and ovary usually express vimentin. Also thyroid carcinomas are vimentin positive. Any low differentiated or sarcomatoid carcinoma may express some vimentin. Vimentin is frequently included in the so-called primary panel (together with CD45, cytokeratin, and S-100 protein): Intense staining reaction for vimentin without coexpression of other intermediate filament proteins is strongly suggestive of a mesenchymal tumour or a malignant melanoma. However, in biopsies representing only a sarcomatoid part of renal cell carcinoma a.o. a strong positivity for vimentin without cytokeratin expression may be seen. Tumours like lymphomas and seminomas have the same intermediate filament profile, but the vimentin expression is usually weaker.
1. Ridge KM et al. Roles of vimentin in health and disease. Genes Dev. 2022 Apr
2. Kuburich NA et al. Vimentin and cytokeratin: Good alone, bad together. Semin Cancer Biol. 2022 Nov
Belongs to the intermediate filament family.
Highly expressed in fibroblasts, some expression in T- and B-lymphocytes, and little or no expression in Burkitt's lymphoma cell lines. Expressed in many hormone-independent mammary carcinoma cell lines.
Filament disassembly during mitosis is promoted by phosphorylation at Ser-55 as well as by nestin (By similarity). One of the most prominent phosphoproteins in various cells of mesenchymal origin. Phosphorylation is enhanced during cell division, at which time vimentin filaments are significantly reorganized. Phosphorylation by PKN1 inhibits the formation of filaments. Phosphorylated at Ser-56 by CDK5 during neutrophil secretion in the cytoplasm. Phosphorylated by STK33. Phosphorylated on tyrosine residues by SRMS.; O-glycosylated during cytokinesis at sites identical or close to phosphorylation sites, this interferes with the phosphorylation status.; S-nitrosylation is induced by interferon-gamma and oxidatively-modified low-densitity lipoprotein (LDL(ox)) possibly implicating the iNOS-S100A8/9 transnitrosylase complex.
Cytoplasm.
CTRCT30 antibody
Epididymis luminal protein 113 antibody
FLJ36605 antibody
HEL113 antibody
VIM antibody
VIME_HUMAN antibody
Vimentin antibody
Brucea javanica oil inhibited the proliferation, migration, and invasion of oral squamous carcinoma by regulated the MTFR2 pathway
Author: Yihan Lai, Mingkang Li, Juan Zhan, Lin Jiang, Yuan Wu, Zhiyi Fang, Jianhan Zhou, Yujie Ma, Yisen Shao, Wei Wang
PMID: 39871949
期刊: Frontiers In Oncology
应用: WB
反应种属: Human
发表时间: 2025 Jan
Copyright © 广州杰特伟生物科技有限公司 All Rights Reserved. 备案号:粤ICP备19077843号